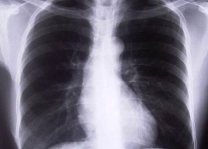
Сигнали, алармиращи за рак на белия дроб
Има признаци, по които може да определите развиващото се заболяване Но има признаци, по които можете да определите развиващото се заболяване. Някои от симптомите са продължителна и упорита кашлица (две до три седмици), която се отбелязва при 50–75% от пациентите, хемоптиза, болка в гърдите. Също така трябва да обърнетеВиж още









